Signaux d’alerte

Saignement gingival :

Mettons de côté les saignements classiques : gingivite, pyorrhée , parodontite. (documentés sur le site).

 

 

Soupape de sécurité

Intéressons-nous au petit saignement, isolé entre deux dents, sur une gencive saine.  C’est la signature d’une soupape de sécurité qui a lâchée.

Un fusible qui a fonctionné et qui nous dit, que nous sommes en présence d’un dysfonctionnement de santé. C’est le moment de faire un check-up.
Dès la prise de conscience et les mesures envisagées, le saignement va s’arrêter.

>> voir gingivite

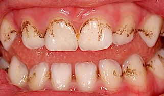
Tartre noir :

A la différence du tartre classique qui est de couleur jaunâtre et d’une certaine épaisseur,  le tarte noir  se présente comme une coloration, un liseré noir, au niveau des collets des dents.

En médecine traditionnelle chinoise, il annonce une faiblesse cardiaque. Il faut en tenir compte. Prenez rapidement un rendez-vous auprès de votre cardiologue, mais aussi auprès d’un médecin acupuncteur/homéopathe, pour un traitement de terrain.

Surtout pas de fluor …

Comment  peut-on encore prescrire aux nourrissons du fluor, en sachant que les dents à venir seront immatures, tâchées et que ces enfants vieilliront prématurément ?

Le dernier scandale du fluor a démontré, que les eaux fluorées, rendent les gens dociles , serviles et stériles.

Il est indispensable de ne plus le consommer, de ne plus se brosser  les dents avec du dentifrice au fluor, de ne plus utiliser d’eau fluorée pour les bains de bouche….

Pour en savoir plus, cliquer…..

 

 

 

Generic selectors
RECHERCHER
RECHERCHER
RECHERCHER
Post Type Selectors