POURQUOI ? QUAND ? COMMENT ? AVEC QUEL APPAREIL ?
L’orthodontie est une spécialité de l’Art Dentaire qui prend en compte la prophylaxie et le traitement des dysmorphoses, des malpositions dentaires et maxillaires.
En d’autres termes, le but premier est de rendre le sourire de nos patients le plus attrayant possible.
POURQUOI SUIVRE UN TRAITEMENT D’ORTHODONTIE ?
- pour l’esthétique, en particulier chez les enfants, (pour éviter les railleries des autres enfants).
- pour faire plaisir à l’un ou l’autre des parents.
° qui souffre de n’avoir pas un sourire de « star ».
° qui souhaite le meilleur pour ses enfants
° qui aurait aimé avoir un traitement d’orthodontie dans son enfance et qui ne l’a pas eu
Toutes ces raisons sont louables.
Mais, il y a aussi une autre dimension : la dimension psychologique, l’apport de l’
Energétique Dentaire
Non seulement chaque dent est porteuse d’un profil psychologique, mais le positionnement de la dent nous dit comment ce profil est vécu.

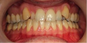
Il suffit de regarder cette dentition pour y déceler de la dysharmonie.
Certaines dents sont en recul, d’autres trop en avant.
Prenons le côté droit de la personne (à gauche sur la photo) :
– L’incisive latérale supérieure, en avant de la canine, est en recul.
– Cette dent correspond à la communication avec les autres. Sa position sur l’arcade, nous dit que c’est une personne qui a plein de choses à dire, mais qui ne s’exprime pas. Elle est sur l’expectative. Elle va attendre le bon moment pour s’exprimer, mais ce moment n’arrive jamais.
– Et pourtant, elle est passionnée, la canine est en avant.
– Une des causes probables de son dysfonctionnement actuel, le manque de confiance en elle : la dent juste derrière, la 14, est en recul.
En d’autres termes, lorsqu’on dit qu’il n’est pas possible de changer sa psychologie, c’est vrai et faux en même temps.
Vrai : lorsque la psychologie est figée dans la matière par la position de la dent, le patient restera dans le même schéma de pensée.
Faux : lorsqu’on donne la possibilité à la dent de se repositionner, le patient pourra changer de caractère.
Si la dent est bien repositionnée par un travail d’orthodontie et la prise de conscience engendrée chez le patient pour savoir où il en est, le patient pourra alors changer sa psychologie et vivre pleinement sa vie, après avoir travailler à la cause de son mal être.
Dans le cas ci-dessus, en orthodontie :
Dans un premier temps, avec un appareil mobile en haut, il faudrait pousser l’incisive latérale supérieure (12), en avant. Encore faut-il que cela soit possible dans la matière.
Car actuellement, chaque fois que cette personne ferme la bouche, l’incisive se positionne en arrière.
Sur le plan symbolique, on pourrait dire que le patient, « chaque fois qu’il la ferme, chaque fois il se renferme. »
Pour empêcher l’occlusion complète et laisser un espace entre les deux maxillaires, il sera mis une plaque de résine entre les dents. L’occlusion se fera sur la résine et non plus sur les dents
Autrement dit : la personne pourra « prendre de la hauteur » sur le plan physique mais aussi sur le plan émotionnel, mental…
Mais cela ne va pas suffire.
– Il faudra alors rajouter un ressort sur l’appareil mobile, pour pousser la dent en avant.
Ce n’est pas évident, car « aller en avant » va se traduire par prendre conscience de son blocage et le lever. Le chemin va passer par un travail pour retrouver la confiance en soi : position de la première prémolaire droite qui se positionne en arrière (14).
Ainsi au travers du ressort, la 14 sera mise en énergie.
– Et pour finir, on rajoutera un vérin central pour donner de la place, en écartant les maxillaires.
L’appareil va aussi devoir travailler sur le côté gauche …
QUAND, COMMENCEZ LE TRAITEMENT ?
– Déjà faire un travail préventif
°Evitez la succion prolongée du pouce, de la doudoune… Ces mauvaises habitudes amènent une déformation du maxillaire supérieur antérieur irréversible avec des malpositions dentaires.
° Demandez conseil auprès de votre dentiste et de votre ostéopathe crânien.
N’attendez pas que les dents définitives se positionnent mal.
– En pratique : si votre enfant a encore ses dents de lait, il doit y avoir un espace entre les 2 incisives du haut. Si ce n’est pas le cas, votre enfant va manquer de place pour les dents définitives.
Pour y remédier, privilégiez la croissance osseuse des maxillaires.
Cela peut se faire par des stimulations osseuses manuelles ou à l’aide d’appareils fonctionnels, comme les gouttière S.B …
Vous pourrez ainsi déjà éviter de multiples extractions, par manque de place.
Sinon il est préférable de faire un traitement, tant que la croissance osseuse est encore possible, tant que tout n’est pas figé et que toutes les dents soient en place.
A chaque âge, les demandes seront différentes. A l’adolescence, cela sera plutôt l’esthétique qui primera, à l’âge adulte, un travail sur soi-même.
Conseil : pour des raisons financières, toujours faire la demande pour les enfants avant leurs 12 ans, pour se faire rembourser par la S.S. et des mutuelles.
EXTRACTIONS : l’inquiétude ?
– Soignez les dents de lait est la première règle, pour ne pas devoir les extraire prématurément. Lorsque une dent de lait est absente, il va y avoir migration de la dent du haut, de derrière et de devant. Et de ce fait, il risque d’y avoir un manque de place pour la dent définitive qui doit venir, à la place de la dent de lait. Et quoi faire alors ?
– Si la dent est incluse droite comme certaines canines, il est possible avec un traitement approprié de les amener sur l’arcade.
– En cas de manque de place, il faut d’abord prendre en compte le fait que nous sommes en présence de limites.
° Soit avec le traitement d’orthodontie, nous pourrons faire de la place et les faire sauter.
° Soit cela s’avère impossible, c’est l’indication de l’extraction.
Il est préférable d’extraire l’une ou l’autre dent pour permettre une mise en place harmonieuse des dents, plutôt que tout laisser venir sur l’arcade dans la disharmonie esthétique avec des blocages énergétiques et psychologiques.
QUELLES METHODES CHOISIR ?
Plus le travail est entrepris tôt, plus il est possible de privilégier des méthodes fonctionnelles comme les gouttières.
Le choix se fait en fonction de chaque cas.
N’utilisez les méthodes fixes (multi bagues) que quand les autres méthodes comme les appareils mobiles, maintenus en bouche par des crochets ne peuvent plus être utilisées.
Car avec les appareils fixes, nous risquons :
– que les forces utilisées soient trop puissantes et pourraient occasionner des troubles au niveau crânien, avec des troubles scolaires, migraine…
– que les produits utilisés pour fixer les bagues amènent des pertes d’énergie.
RECIDIVES POSSIBLES :
En orthodontie classique, les statistiques font état de plus de 75 % de récidives.
Ce chiffre est à relativiser car certaines récidives sont forts minimes.
Par contre, le positionnement de la dent est le reflet de la psychologie dont elle est porteuse. Si le trait psychologique n’a pas été changé et que les contraintes de l’appareil ne sont plus là, la dent va reprendre sa position initiale, et tout le travail d’orthodontie n’aura servi à rien.
D’où souvent la nécessité, du port d’un appareil de contention, tant que le nouveau mode de fonctionnement psychologique n’est pas encore ancré.
LES TROUBLES ASSOCIES :
– Succion du pouce : la réponse est à chercher du côté des « troubles crâniens » dus à la naissance. Une ou deux séances chez un ostéopathe crânien en viendront à bout.
– Troubles respiratoires : un palais moins étroit amènera une respiration plus facile
– Troubles de déglutition de la langue : j’ai constaté la disparition de ces troubles après le repositionnement des dents.
LES AIDES :
– Accompagnement psychologique.
Il est conseillé de se faire accompagner pour un bon psychologue ou un bon thérapeute, qui aura été formé à la psychologie dentaire et qui saura bien expliquer au patient sur quel trait de caractère le dentiste agit, en déplaçant une dent.
Et très souvent, la prise de conscience pourra se faire et la situation se débloquera facilement.
– Accompagnement indispensable par un ostéopathe crânien.
Il saura réduire la durée du traitement d’ostéopathie d’un tiers de temps, environ.
Il régulera les perturbations dues à l’utilisation de forces trop fortes des appareils par exemple.
A la fin de chaque séance ostéopathique, il ne faut plus d aucune tension intracrânienne avec l’appareil d’orthodontie en place et les dents en contact.
– Homéopathie :
L’idéal est de se faire suivre par un homéopathe uniciste, qui saura donner un seul remède au patient : le simillimum
Dans l’exemple ci-dessus : Silicea pourra aider le patient à faire grandir sa confiance en lui.
– Elixirs floraux et minéraux qui seront à proposer, cas par cas.
L’orthodontie oui, mais pas à l’aveugle.
Demandez l’avis de plusieurs praticiens.
Et choisissez celui qui connait le profil psychologique des dents.